Services Details

  • Home
  • Services Details

TEETH WHITENING

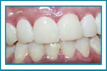
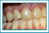
Teeth whitening is a simple procedure that can produce fabulous results for little effort and minimal cost. It is a non-invasive and effective way to brighten stained or discoloured teeth, taking years off your age and increasing confidence at the same time. Even after professional cleaning, teeth long-used to coffee, red wine, cigarettes or other staining agents will not return to their original youthful colour.

With the latest technology, tooth whitening is now available whereby anyone is able to go beyond stained teeth. Our clinic uses pola, a product of SDI, Australia, for our in-office tooth whitening treatment.
Your teeth can become 5-6 shades lighter. Depending on your lifestyle, you may need to bleach periodically.

Address First

Shop No. 14, First Floor, Amrapali Crystal Home Shopping Arcade, Sector 76, Noida, Uttar Pradesh 201301

image

Address Second

Shop UGF08, Next to ICICI Bank , Ajnara Le-Mart , Sector 16 B Near Ek Murti Circle, Noida Extention Geater West, Uttar Pradesh 201318

image