Services Details

  • Home
  • Services Details

COSMETIC DENTISTRY

A strong focus on Cosmetic dentistry means our patients stay smiling from day to night…
At our practice we understand the need for patients to feel comfortable during and after treatment. We not only take exceptional care of your oral health, but your smile aesthetics too.
With use of our latest technology and focus in cosmetic restoration we can have your smile beaming with a new confidence. Our range of cosmetic treatments include:

  • Tooth Whitening

  • Laminates/Veneers

  • Laser Gum Depigmentation

  • Tooth Coloured Fillings

  • Composite Bonding

These treatments will help our patients feel comfortable in their smiles by:

  • Ensuring a white, healthy smile

  • Ensuring that teeth are replaced after tooth loss

  • Ensuring that any chips or discolouration is restored

  • Ensuring you can smile wide by restoring gaps and maintaining the structure of the teeth

Cosmetic dentistry is the integration of three ideals - looking good, good health and a healthy, enduring smile. The bonus is that typically you will be looking younger as well.
If you've ever wondered why so many individuals in public life have such perfect smiles, you might be surprised to find out how many of them have had cosmetic dental work!
One way that we can make your smile more attractive is to place porcelain laminate veneers or jacket crowns. Porcelain veneers are translucent, thin laminates made to improve the esthetics (shape, spacing, color) of natural teeth, to correct crowding, or to replace composite bonding.
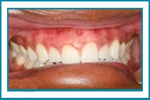
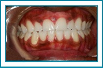
If you already have crowns on your front teeth, replacement with all porcelain jacket crowns may give you a more natural, attractive appearance. Or think about cosmetic repositioning as an alternative to orthodontics with the placement of porcelain veneers as seen below.
Porcelain veneers and crowns are extremely lifelike and hold their brilliance, unlike bonding which often appears bulky or fake. Although porcelain is an extremely translucent material, it is also very strong. Porcelain veneers and crowns are permanent restorations, and they can be expected to last for many years. Also, there are no food restrictions - once they are cemented you can eat normally (apples, corn on the cob, etc.) - porcelain simply covers the imperfections in your own smile!
Porcelain jacket crowns and laminate veneers both require two office visits. At the first appointment we remove any old bonding and prepare the teeth. We also take impressions and choose the shade and shape of the porcelain. When you leave the office, temporary bonding is used to cover the prepared teeth. Approximately one week later, the porcelain veneers or crowns are permanently cemented at the second appointment.

LASER DEPIGMENTATION

Gum depigmentation is a procedure used in cosmetic dentistry to remove black spots or patches on the gums caused by excessive melanin. The normal color of the gum tissue (gingiva) is pink, but excess deposits of melanin (melanin gingival hyperpigmentation) can create what seem to be black spots or patches on the gums, creating an aesthetic or cosmetic problem. Discolouration may also be caused by long term use of certain medications. A clinical assessment is carried out to customize the treatment to the patients needs, and the procedure itself can involve surgical, chemical, or laser ablation techniques.

Laser Gum Depigmentation Techniques :

Melanocytes are cells which reside in the basal layer of the gingival epithelium. These cells produce melanin, which are pigments that cause discoloration or dark spots in gums. A dental laser can target and ablate the melanocytes, thus reducing the production of melanin in the gingival tissue. Following laser depigmentation, the gingiva heals by secondary intention. This results in a lighter and more uniform color of the gums.

Tooth Coloured Fillings

At our practice we work only with tooth coloured fillings to fill cavities and restore your smile…
Composite resin fillings are a durable alternative to harsh amalgam fillings of the past.

Outdated amalgam Fillings

Amalgam fillings can lead to further damage and breakages in the tooth, as they require further removal of the natural tooth structure.

Durable bond

As white composite fillings are bonded to the tooths surface in layers, they are a strong and durable alternative, to their outdated adversary.

Restore teeth and secure a bright smile

Tooth coloured composite, also known as tooth coloured fillings restore the function and aesthetics of the smile.

The many benefits of tooth coloured fillings include:

  • They are matched to your natural tooth colour

  • Bonded to the tooths surface – no further extraction required

  • Durable and restore the tooths structure

  • Hardened and sealed instantly

  • Easily repaired

  • Won’t compromise aesthetics

  • When replacing amalgam fillings, will brighten the smile.

Composite Bonding

Do you have a problem with your tooth that needs attention? Read on to find out more….
Composite Bonding is a cosmetic procedure that can enliven your smile. Using composite materials that can match the shade, translucency and texture of your original teeth, composite bonding can restore a tiny crack or chip with attractive results.
This treatment is primarily used to correct minor imperfections and can be quickly completed within one short appointment.
Benefits of Composite Bonding:

  • Minimally invasive alternative to veneers

  • Corrects small chips, cracks and discolouration

  • Pain-free and easy!

Address First

Shop No. 14, First Floor, Amrapali Crystal Home Shopping Arcade, Sector 76, Noida, Uttar Pradesh 201301

image

Address Second

Shop UGF08, Next to ICICI Bank , Ajnara Le-Mart , Sector 16 B Near Ek Murti Circle, Noida Extention Geater West, Uttar Pradesh 201318

image